Dr Venkatesh MJ

ORDTHODONTIST

DENTIST

ALL CARE DENTAL CENTRE

Dedicated and accomplished dentist with extensive experience in general and cosmetic dentistry, committed to delivering exceptional patient care. Proven expertise in advanced restorative techniques and digital dentistry, enhancing treatment precision and outcomes. Recognized for building strong patient relationships and providing tailored treatment plans that prioritize individual needs. Skilled in managing complex cases and fostering teamwork among dental professionals. Passionate about promoting oral health awareness and enhancing community wellness through preventative care programs and patient education initiatives. A trusted clinician dedicated to improving patients’ smiles and overall health.

Contact

20/07/1972

#309, 40th Cross 8th Block Jayanagar Bangalore 560070

Our Services

SCALING

Our Scaling, Teeth Cleaning, and Brightening services enhance oral health and aesthetics. Experience a deep clean, remove stains, and achieve a radiant smile, all tailored to meet your unique dental needs.

ROOT CANAL TREATMENT & FILLINGS

Our Root Canal Treatment expertly relieve tooth pain, preserving your natural tooth. With state-of-the-art technology and compassionate care, we ensure a comfortable experience for lasting dental health.

ORAL SURGERY

Our oral surgery services specialize in tooth extractions and dental implants, prioritizing patient comfort and recovery with advanced techniques and personalized care for optimal results. Experience expert treatment tailored to your needs.

CROWNS, BRIDGES AND DENTURES

Revitalize your smile with our expert crowns, bridges, and dentures. Enjoy durable, natural-looking restorations tailored for function and aesthetics, ensuring lasting confidence and personalized care. Experience the difference!

GUM SURGERY

Our gum surgery services provide expert treatment for periodontal disease, ensuring healthier gums and overall oral health. Enjoy personalized care, advanced techniques, and exceptional outcomes that enhance your smile and well-being.

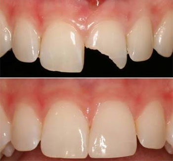
COSMETIC DENTISTRY

Transform your smile with our expert cosmetic dentistry services. We offer teeth whitening, veneers, and aligners to enhance your aesthetics and boost confidence, all tailored to your unique needs for outstanding results.

ORTHODONTICS

Experience expert orthodontic care with personalized treatment plans, including braces and aligners. Enhance your smile's health and aesthetics, ensuring comfort, efficiency, and lasting results for all ages.

PEDIATRIC DENTISTRY

Our Pediatric Dentistry provides specialized care for children, focusing on preventive oral health, education, and gentle treatments. We create a comforting environment, ensuring positive dental experiences that promote lifelong smiles.

DIAGNOSIS AND RADIOLOGY

Our clinic specializes in accurate diagnosis and advanced radiology services. We provide OPG, CBCT, and RVG imaging, ensuring comprehensive assessments that enhance treatment planning and patient care. Experience precision with us!

Make an Appointment

Rate And Review

Instagram Feed

Business Hours

Monday : 10:00 AM - 08:00 PM
Tuesday : 10:00 AM - 08:00 PM
Wednesday : 10:00 AM - 08:00 PM
Thursday : 10:00 AM - 08:00 PM
Friday : 10:00 AM - 08:00 PM
Saturday : 10:00 AM - 08:00 PM
Sunday : 11:00 AM - 01:00 PM

QR Code

Inquiries

 Add to contact