Dr Irfana's Dental Studio
Dentist Owner And Lead Surgeon Dr Irfana’s Dental Studio- Dr. Irfana Thanwala is a highly experienced Periodontist (MDS) and Implantologist with over 14 years of expertise in the field of dentistry. She holds a Fellowship in Implantology from the Indian Society of Oral Implantologists (ISOI) and has 8 international publications in Periodontology, reflecting her dedication to academic excellence and clinical innovation.
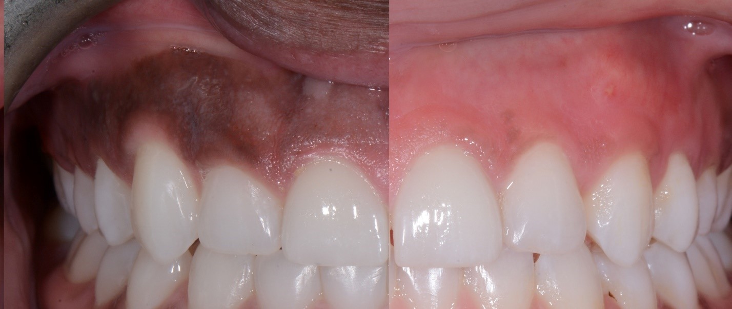
- As the proprietor of Dr.Irfana's Dental Studio, Dr.Irfana is committed to providing state-of-the-art dental care tailored to meet each patient’s unique needs. Her specialization spans advanced periodontal and implant surgeries, gum surgeries, periodontal plastic surgeries, and full-mouth rehabilitation.
- She is renowned for her proficiency in handling complex procedures, including bone grafting, ridge-split techniques, membrane placement, and implant prosthesis. With her patient-centered approach and focus on precision, she ensures optimal results for both routine and intricate cases, enhancing oral health and aesthetics.
- Dr.Irfana's Dental Studio is a leading dental care centre in Mumbai, offering the highest standard of dental services with a patient-first approach. Recognized as the best dental clinic in Jogeshwari, we specialize in painless dental treatments using advanced technology and personalized care.
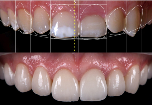
- From aligners, veneers, root canals, wisdom teeth extractions, and child dental care to advanced solutions like Digital Smile Design (DSD), smile makeovers, CAD/CAM restorations, CBCT-guided implant planning, and gum surgeries, we’ve got you covered.
- Using tools like intraoral scanners and 3D treatment planning, we ensure comfortable, precise, and predictable results. Combining innovation with patient-first care, we aim to transform your smile, enhance your confidence, and ensure comfortable eating and chewing.
- Whether you're searching for a skilled dentist nearby or the best dentist in Jogeshwari, our clinic is your trusted destination for world-class comprehensive dental care that prioritizes your comfort and satisfaction.
- Redefine your smile. Redefine your confidence. Experience modern, pain-free dentistry with the best dental care in Mumbai.
Shop no 3, mashayak apts, Behram Baug, Jogeshwari West, Mumbai 400102
QR Code
Our Services
Gallery
BUSINESS HOURS
Monday
10:30 AM - 08:00 PM
Tuesday
10:30 AM - 08:00 PM
Wednesday
10:30 AM - 08:00 PM
Thursday
10:30 AM - 08:00 PM
Friday
10:30 AM - 08:00 PM
Saturday
10:30 AM - 08:00 PM
Sunday
Closed
English
Chinese
French
German
Portuguese
Russian
Spanish
Turkish



